Multi-displinary success

Now a days, the ultimate success in dentistry depends on a multidisciplinary approach where several disciplines involved in the case diagnosis, planning and managment.

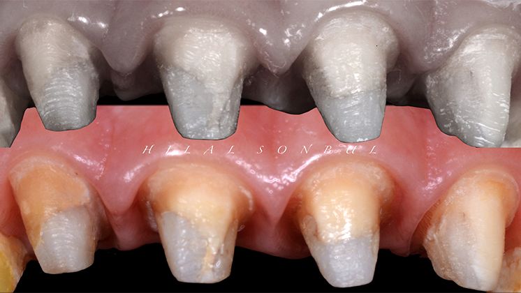
The beauty of Aging!

The beauty of Aging!
  • Mar 21, 2018
Age of patient should be reflected on teeth. Neglecting age as a factor might render the patients' smile as unnatural.

Gummy smile and POWER of Temporary crowns

Gummy smile and POWER of Temporary crowns
  • Jul 19, 2017
Smile with gingival display is rated as an unattractive smile. Patient was so unhappy of her smile.

A teamwork WHAT IT CAN DO?!

A teamwork WHAT IT CAN DO?!
  • May 18, 2017
Badly destructed anterior teeth due to malpractice might render the management challenging. Multidisciplinary approach with patient cooperation would lead to a fantastic outcome.

DESIGNING A PRIDE SMILE

DESIGNING A PRIDE SMILE
  • May 18, 2017
Esthetic does not mean perfect shade using excellent material only, healthy gingiva should be a prime concern.