A teamwork WHAT IT CAN DO?!

A teamwork WHAT IT CAN DO?!
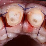
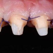
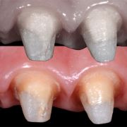
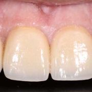
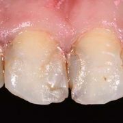
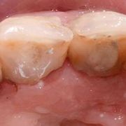
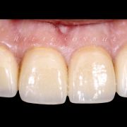
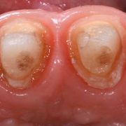
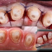
Badly destructed anterior teeth due to malpractice might render the management challenging. Multidisciplinary approach with patient cooperation would lead to a fantastic outcome. The crown lengthening was done by Prof Ali Alghamdi and the endodontic treatment by Dr Khalid Merdad.

Images