The beauty of Aging!

The beauty of Aging!
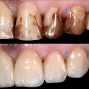
The patient was complaining of heavy stain and multiple faulty restorations. Considering the age in analyzing the teeth shape, contour and color play a vital role in success. Root canal treatment was done for the anterior teeth (Dr Khalid Merdad). Veneers and crowns @perlasmile lab.

Images