Toggle navigation
Helal Sonbul
Home
Successes
إرشادات
Publications
About
Contact
Non Vital Bleaching
Single discolored tooth due to Trauma!
Jun 16, 2017
Regaining the natural color of the tooth by non-vital bleaching,
Read
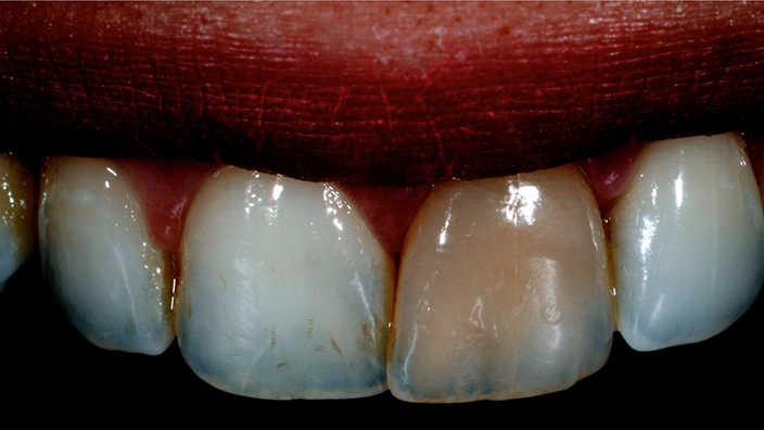
Single Discolored tooth ... CONSERVATIVE APPROACH
May 18, 2017
Single discolored tooth is a challenge in esthetic dentistry. Regaining the normal color while preserving the natural tooth structure is the ultimate goal.
Read
Categories
All
Multi-displinary success
Non Vital Bleaching
Esthetic Restorations
Porcelain Veneer
Vital Bleaching