Toggle navigation
Helal Sonbul
Home
Successes
إرشادات
Publications
About
Contact
DESIGNING A PRIDE SMILE
May 18, 2017
Share
Esthetic does not mean perfect shade using excellent material only, healthy gingiva should be a prime concern.
Images
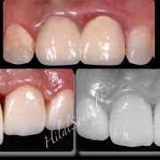
improper smile line
adjusting smile line by intruding laterals and extruding centrals
One can notice the red inflamed gingiva
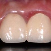
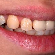
After adjusting the teeth position by Ortho treatment, E-max crowns were placed and biological width was established.
Notice the health gingiva around the crowns
Categories
All
Multi-displinary success
Non Vital Bleaching
Esthetic Restorations
Porcelain Veneer
Vital Bleaching
Most Recent
Replacing a missing central !
Dec 19, 2019
Restoring " WINDOW OF THE SMILE" is abslutely a challenge !
Mar 30, 2019
LAYERING COMPOSITE FOR BETTER ESTHETIC!
Dec 15, 2018