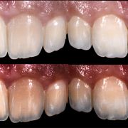
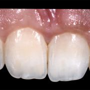
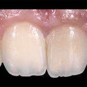
Single discolored tooth due to Trauma!

Single discolored tooth due to Trauma!
Trauma is considered one of the reasons behind single tooth discoloration. Non-vital bleaching can regain the natural tooth shade while preserving the tooth structure. Hydrogen peroxide is the most common material used for that purpose. The technique is sensitive and needs a meticulous precautions.

Images