Several factors might compromise the esthetic outcome. Indeed, the two centrals are considered the window of a pleasant smile. Proper case analysis and material selection based on knowledge are the imperative keys for successful outcome.
Images
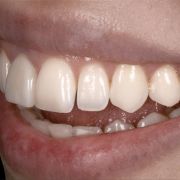
The two central incisors can change the whole smile dramatically.
Due to previous improper access, the gap between the post and labial surface of the access would lead to grayish shadow under ceramic (arrow 3). Composite with proper opacity was layered inside out to fill the gap. (5) special light cure to ensure proper curing.
Shape of the access was restored and the gap was filled to modify the light reflection through the ceramic crown.
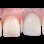
#11: slightly opaque, protruded, compromised width/length ratio, angulation is bizarre, presence of diastema. Asymmetry is evident.
(Right) the length of #11 was improved by gingivectomy, (Left) tissue healed after 2 weeks
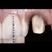
(Left) preparation #11 crown , #21 veneer, one can notice the difference in dentine chroma. (Right) Temporization based on planned wax up shows improved width/length ratio and proper angulation.
Temporary was stained to blend the shade with the neighboring teeth
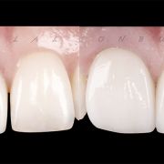
Diastema closed, deep chroma related to #11 was successfully masked and finally width/length ratio and angulation were addressed.
One can notice #11 protrusion and the space distal to #21
The problems adjusted
Material selection crown vs veneer!
Proper ingot opacity is carefully selected to mask the deep chroma of #11