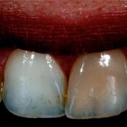
The tooth is discolored due to previous improper RCT. The discoloration is due to remnants of gutta percha and sealer inside the pulp chamber. The case was done by Dr Khalid Merdad and I.
Images
Deep chroma is apparent in tooth #21 due to previous improper RCT.
to show the deep chroma from inside the tooth
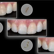
After bleaching, composite is layered (arrow) from inside labially to restore the lost tooth structure from the previous access and to modify the light reflection within the tooth.
The large access cavity decreased in diameter after the inside composite layering at the labial surface.
To avoid improper composite curing due to deep access cavity, fiber post is placed instead to fill in the access. The post is now snuggly fitted.
1- before non vital bleaching
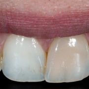
2- after non vital bleaching, tooth still discolored!
3- after "inside out" composite layering
playing with composite opacities from inside out is very important to treat such a cases !