Restoring root canal treated tooth... A Conservative approach!

Restoring root canal treated tooth... A Conservative approach!
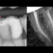
Based on evidence, all posterior teeth should be restored with cuspal coverage after root canal treatment. However, most of these teeth are badly destructed due to caries or large existent restoration. The key of success is to preserve the remaining tooth structure and restore the tooth conservatively. Dr khalid Merdad and I worked simultaneously to accomplish this task.

Video

Images