A single central incisor would render your smile unpleasant. Restoring such a case is a challenge per se. Understanding of the color physics and most importantly "HOW DO WE SEE WHAT WE SEE !!" is the key of success.
Images
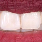
A single faulty restoration in one of the centrals could change your smile
The two centrals is the window of smiles' beauty!
Perfect shade is not the only factor for success. Shape, angulation and line angles are of great importance.
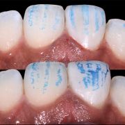
Surface texture is absloutly important to be considered. It affects light reflections on the tooth surface.
Surface texture is like the finger print of the tooth that should be replicated.
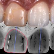
I used one hue (B), three opacities (Enam.,Body, Dent.) and two different chroma of the same hue (B1,B2).
Different posing revealing different natural light reflections on the tooth!